Mass Lesion Color Doppler Ultrasound
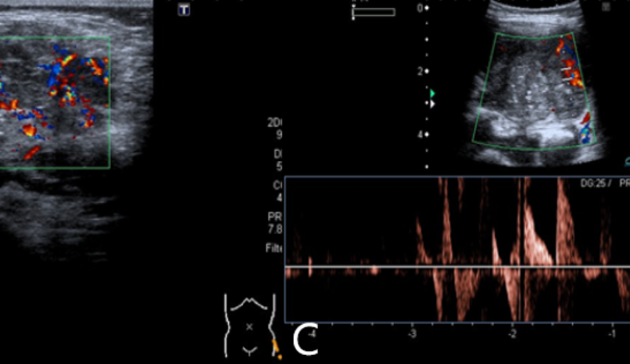
The growth of malignant tumors largely depends on the blood supply provided by new vessels, which develop under the tumor’s angiogenic stimulation. These new vessels penetrate the lesion.
The course and distribution of these vessels within the tumor are chaotic and irregular, with multiple anastomoses and shunts. The irregular course of these vessels can be identified by their abnormal flow in color Doppler and detected through wave pattern analysis with high speed and/or low resistance.
Abnormal flow has also been identified in malignant tumors originating from soft tissues.
Doppler ultrasound devices have high sensitivity in detecting the presence and identification of blood flow.
Theoretically, the larger the lesion, the higher its metabolic needs, and the larger the vascular supply area, especially in large tumors where necrosis is often observed at the center.
Common Soft Tissue Mass Lesions with Characteristic Features
Several common and distinctive soft tissue lesions include lipomas, hemangiomas, ganglions, PNSTs (Peripheral Nerve Sheath Tumors), GCT (Giant Cell Tumor) of the tendon sheath, myositis ossificans, hematomas, and Morton’s neuroma. These lesions often have specific clinical and/or imaging features that assist in characterization, guide appropriate evaluation, and often prevent the need for biopsy.
**Lipomas and Other Lipomatous Lesions**
Lipomas are the most common soft tissue tumors and histologically consist of tissue similar to adipose tissue.
The key differential diagnosis for a benign lipoma includes well-differentiated liposarcoma, which can also display a significant fat component. It’s important to note that other subtypes of liposarcoma (dedifferentiated, myxoid, and pleomorphic) may contain minimal fat or may not be visible at all.
Therefore, if a fatty mass cannot be definitively diagnosed as a lipoma or another benign fat-containing lesion, liposarcoma should be considered.
**Hemangiomas**
Hemangiomas are benign vascular lesions consisting of various vessels, which can be further histologically classified. They are common tumors in infancy and childhood but can occur at any age.
**Ganglions**
Ganglions are not true tumors and are therefore not included in the WHO classification of soft tissue tumors. However, ganglions are common and should be considered in the evaluation of soft tissue masses.
**Peripheral Nerve Sheath Tumors (PNSTs)**
PNSTs are classified by the WHO as distinct neurogenic tumors and include both benign and malignant PNSTs. Benign PNSTs, which comprise about 10% of benign soft tissue tumors, include schwannomas (neurilemmomas) and neurofibromas. Both tumors appear as well-defined, fusiform masses aligned along the nerve.
**Giant Cell Tumor of the Tendon Sheath**
The Giant Cell Tumor of the Tendon Sheath is a nodular form of pigmented villonodular synovitis with the same histological appearance as its intra-articular counterpart. As the name suggests, these tumors are closely associated with the tendon sheath, with the hand being the most common site. They are typically adjacent to an interphalangeal joint.
**Myositis Ossificans**
Myositis ossificans is a benign ossifying soft tissue mass that forms within the muscle. It is thought to occur following trauma; however, patients often do not recall any preceding traumatic event. Patients may be asymptomatic or present with pain, swelling, and sometimes an elevated erythrocyte sedimentation rate. Most lesions occur in the large muscles of the extremities.
**Hematomas**
Hematomas can occur after trauma in patients on anticoagulant therapy or those with coagulation deficiencies. Bruising may be present on physical examination, and the appearance of the hematoma varies with its age.
**Morton’s Neuroma**
Morton’s neuromas are benign, non-neoplastic lesions caused by fibrosis and degeneration around the plantar digital nerve. Most lesions occur in the second or third interspace at the level of or just distal to the transverse metatarsal ligament.
Mass Lesion Color Doppler Prices 2026
Prices for mass lesion color Doppler ultrasound vary across different regions of Istanbul and even between different institutions within the same area. For more information about mass lesion color Doppler prices, you can call 02126321059.